-
Гость На форуме функционирует уникальный сервис - "Гарант Сделок"! Все подробности в этой теме!Скрыть объявление
Скрыть объявление
Официальный ТГ канал Pharmacom Labs
Скидки на анализы | Новости, акции, розыгрыши
Консультации специалистов | Живое общение
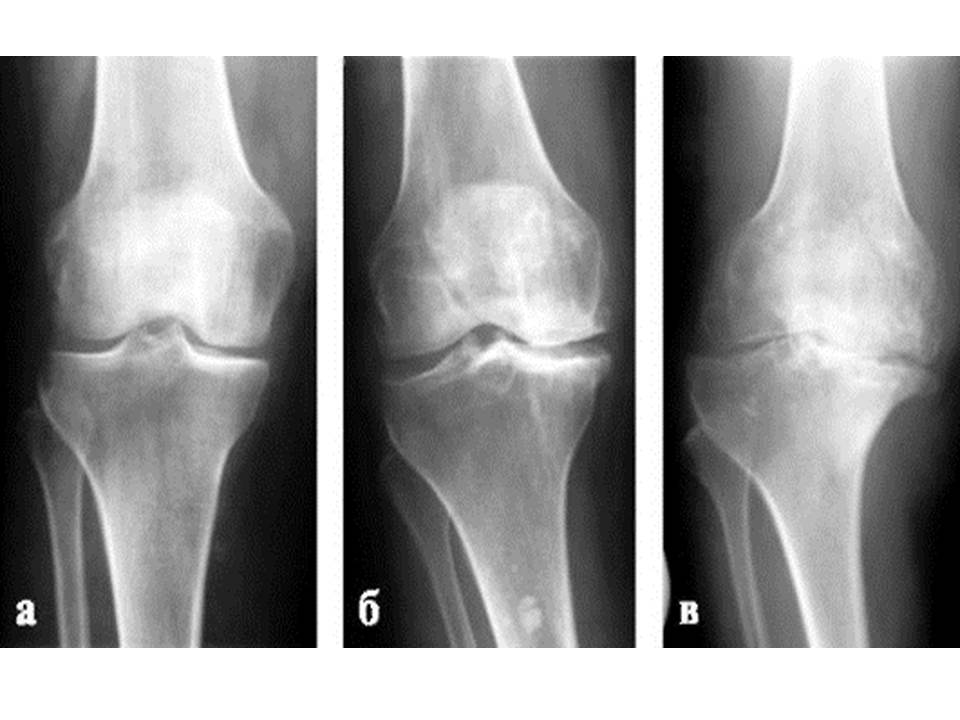
Полезно знать! Осторожно Артроз! Введение.
Тема в разделе "ПКТ и Травмы", создана пользователем Mr.Rikoshet, 26 сен 2019.
Страница 1 из 4











